Themen

Krebs - Aktuelle Nachrichten und Hintergründe

Krebs

|
Krebs entsteht durch unkontrolliertes Zellwachstum, dabei können sich Tumore und Metastasen im Körper bilden. Die Krankheit kann auf unterschiedliche Arten auftreten: Leukämie, Hautkrebs, Brustkrebs, Prostatakrebs, Lungenkrebs, Darmkrebs und viele mehr. ZDFheute informiert zum Thema Krebs aktuell: Nachrichten, Hintergründe und mehr in der Übersicht.

Aktuelle Nachrichten zum Thema Krebs

  1. Ein Mann raucht eine Zigarette.

  2. Eine 3D-Aufnahme des Mikrobioms im Darmquerschnitt.

    Darmbakterien als Schutz und Therapie:Welchen Einfluss hat das Mikrobiom auf Darmkrebs?

    von Andreas Kürten
    mit Video5:03

  3. Ein Arzt impft einen Mann bei einem Pressetermin zur Grippeschutzimpfung im niedersächsischen Gesundheitsministerium mit dem Grippeimpfstoff Vaxigrip

    Welt-HPV-Tag am 4. März:Krebsvorsorge: Experten raten zur frühen HPV-Impfung

    mit Video0:57

  4. Brenna Huckaby beim FIS Para Snowboard Weltcup 2025-26 am 10.02.2026 in Steamboat, USA.

    ZDF-Doku "Paralympische Heldinnen":Brenna Huckaby: Warum Stärke heißt, sichtbar zu sein

    von Johannes Fischer
    mit Video43:44

  5. Barry Manilow muss Konzerttour verschieben

    Nachrichten | hallo deutschland:Barry Manilow muss Konzerttour verschieben

    von Markus Rosendahl
    Video0:24

  6. Archiv: Das Unkrautvernichtungsmittel Roundup steht in einem Ladenregal zum Verkauf, aufgenommen am 24.02.2019, in San Francisco, USA

  7. Der 18-jährige Mailo erhält im Kindertumorzentrum in Heidelberg eine Immuntherapie.

    Forschung in Heidelberg:Krebsfrei durch Immuntherapie

    Video1:36

  8. James van der Beek

    Bekannt aus der Serie "Dawson's Creek":Mit 48 Jahren: US-Schauspieler James Van Der Beek tot

    mit Video0:16

Statistik zu Krebserkrankungen

  1. Rostock, 22.10.2013: Eine Doktorandin betrachtet im Labor des Instituts für Experimentelle Gentherapie und Tumorforschung  der Universitätsmedizin ein Bild von Melanomzellen.

    Prostata- und Brustkrebs am häufigsten:Über 40 Prozent der Deutschen erkranken irgendwann an Krebs

    mit Video0:36

  2. Hautarzt untersucht eine Patientin mit Auflichtmikroskop

    2023 rund 518.000 Neuerkrankungen:RKI: Überlebenschancen bei Krebs steigen

    mit Video0:26

  3. Ein Arzt untersucht in der Praxis die Hautpartie eines Patienten

    88 Prozent mehr Fälle als 2003:Starker Anstieg von Hautkrebsbehandlungen

    mit Video5:05

Krebsfrüherkennung

Krebs: Forschung und Therapien

  1. Ein Arzt zeigt auf ein Röntgenbild einer von Krebs befallenen Lunge.

    Medikament BNT327 :Neue Hoffnung in der Krebsforschung

    von A. Stern/ K. Remen
    Video2:24

  2. Rheinland-Pfalz, Mainz: Fahnen wehen vor dem Büro- und Laborgebäude des Pharmaunternehmens Biontech.

    Erste Medikamente 2026 erwartet:Krebstherapie: Biontech hofft auf Durchbrüche

    von Mischa Erhardt
    mit Video1:01

  3. Hirnforschung: Hoffnung auf Heilung - Hirntumor-Netzwerk erklärt Rückkehr von Krebs

    Preis für Forschungsdurchbruch:Wie Krebszellen im Gehirn kommunizieren

    mit Video6:01

  4. KI gegen Krebs

    Nachrichten | ZDF-Morgenmagazin:KI in der Krebstherapie

    von Petra Otto / Jorina Stuber
    Video2:31

  5. Eine Patientin erhält eine Chemotherapie per Infusion. Ein Arzt sitzt ihr im Gespräch gegenüber.

    Onkologische Kardiologie:Wenn Krebsmedikamente das Herz schädigen

    von Thomas Förster
    mit Video5:09

  6. Illustration, De Tijd
    Exklusiv

    Umstrittene Therapie:Wenn Krebs zum fragwürdigen Geschäft wird

    von S. Baumann, K. Belousova, L. Hruschka, E. Klotsikas
    mit Video11:11

  7. Dr. Christoph Specht und Andrea Ballschuh

Der Umgang mit der Diagnose

Brustkrebs

  1. Sarah bekommt mit 29 Jahren die Diagnose Brustkrebs

    Krebskrank und Kinderwunsch:Brustkrebs mit 29: "Leben auf Pause"

    von Luisa Houben
    mit Video27:10

  2. Mammographer with screening employee during a breast cancer examination by an employee of Population Research Netherlands.

    Nachrichten | heute:Junge Frauen mit Brustkrebs

    von Luisa Houben
    Video1:35

  3. Die Aufnahmen eines Mammographie-Screenings im Vordergrund mit der durchleutchteten Brust.

    Umfassende Studie bestätigt:Brustkrebs-Screening senkt Sterblichkeit klar

    mit Video0:28

  4. Dokumentarfilm "Pink Power"

    Dokumentarfilm:"Pink Power": Kraft gegen Krebs

    von Annette Yang
    Video2:21

Lungenkrebs

  1. Arzt betrachtet Röntgenbildaufnahme mit Lungenkrebs.

    Hoffnung dank neuer Therapien:Lungenkrebs früh erkennen und behandeln

    von Corinna Klee
    mit Video5:25

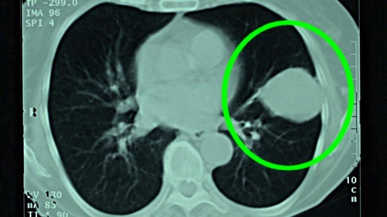
  2. Die computertomographische Aufnahme einer Lunge im Jenaer Uni-Klinikum zeigt deutlich einen ausgeprägten Lungenkrebs (eingekreist).
    FAQ

  3. Archiv: Eine Hand hält eine Zigarette am 06.06.2012 in Berlin.

Prostatakrebs

  1. Früherkennung Prostatakrebs: Neue Hinweise

    Prostatakrebs-Früherkennung:Keine Tastuntersuchungen mehr

    Video2:24

  2. Die grafische Dartsellung von Blase und der darunter liegenden Prostata beim Mann.

    Häufigste Krebsart bei Männern:Prostatakrebs: Wie man ihn heute behandeln kann

    von Janina Janka
    mit Video5:07

Darmkrebs

  1. Computergrafik Darmkrebs
    Interview

    Neue Forschungen zu Darmkrebs:Forscher wollen Frühwarnsystem entwickeln

    mit Video29:50

  2. Eine übergewichtige Frau untersucht das Fettgewebe um ihren Bauch.

    Unterschätzter Risikofaktor:Übergewicht erhöht Gefahr für Darmkrebs

    von Anja Braunwarth
    mit Video5:11

Blutkrebs

  1. Ein Mann bekommt mit einem Wattestäbchen an der Wangenschleimhaut einen Abstrich gemacht.

    Chance auf Heilung bei Blutkrebs:Leukämie: Leben retten mit Stammzellspende

    von Manuela Christ
    mit Video5:07

  2. Stammzellspender Lukas aus Leipzig war der erste Spender, der aus der Aktion von Joko & Klaas und der DKMS hervorgegangen ist
    FAQ

    Diagnose Blutkrebs:Wie Stammzellenspenden Leben retten können

    von Niklas Landmann

  3. Junge Frau liegt schwer krank mit Krebs im Bett eines Krankenhauses

Blasenkrebs

Hautkrebs

  1. Ein männlicher Patient unterzieht sich einem Hautscreening.

    Sonne als Gesundheitsrisiko:Weißer Hautkrebs: "Dramatischer Zuwachs"

    von Annette Kanis
    mit Video5:05

  2. Ein Arzt untersucht in der Praxis die Hautpartie eines Patienten

    88 Prozent mehr Fälle als 2003:Starker Anstieg von Hautkrebsbehandlungen

    mit Video5:05

  3. mRNA-Impfstoff

    Malignes Melanom:Weniger Rückfälle nach Impfung bei Hautkrebs

    von Thomas Förster
    mit Video4:53

  4. Eine Frau fotografiert mit dem Smartphone ein Muttermal auf ihrer Brust.

    Hautkrebs erkennen:Wie zuverlässig sind Hautscreening-Apps?

    von Gunnar Fischer
    mit Video5:27

Kinder und Krebs

  1. Das Krebsforschungszentrum rechnet mit mehr Krebsfällen. Archiv.

    Krebsbehandlung von Kindern:Schnellere Verfahren zur Therapieforschung

    von Jorina Stuber

  2. 3D-Druck von Tabletten für Kinder am Universitätsklinikum Hamburg-Eppendorf

    Neues Mittel bei Chemotherapie:Kinder-Pillen aus dem 3D-Drucker

    von Nico Marsänger

Nachrichten zu weiteren Krankheiten

  1. Zuckerwürfel und granulierter weißer Zucker in zwei braunen Schüsseln.

    Nachrichten | Thema:Diabetes


  2. notfall-ekg

    Nachrichten | Thema:Herz-Kreislauf-Erkrankungen


  3. Schweißtropfen auf Rücken.

    Nachrichten | Thema:Hautkrankheiten


  4. Eine Krankenschwester betrachtet zwei Abstrichröhrchen.

    Nachrichten | Thema:Infektionskrankheiten